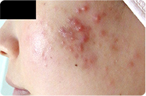
にきび・ニキビ痕
ACNE
症状に合わせて的確な治療をご提案
にきび・ニキビは皮膚疾患(お肌の病気)のひとつです。
過剰分泌によって毛穴に詰まってしまった皮脂が、不要な角質と混ざり合って角栓となり、毛穴をふさいでしまうことによって引き起こされます。皮脂の分泌過
剰は、ストレスやホルモンバランスの乱れ、生活習慣、睡眠不足、化粧品の使用など、様々な原因によって引き起こされると考えられています。
にきびの種類
-
- 白にきび
- 古い角質や汚れが毛穴をふさぎ、出口が狭くなり、皮脂がたまり始めます。皮脂が盛り上がって表皮からその頭が見える白ニキビの状態。毛穴の中ではアクネ菌が増殖しています。
-
- 黒にきび
- 黒ニキビは皮脂と角質の混合物が酸化し、毛穴が開き角栓の先端がポツポツと黒く見えます。アクネ菌はさらに増殖しています。
-
- 赤にきび
- 赤ニキビとなると、炎症を起こしてニキビが赤くなります。この段階になったら専門医に相談することをおすすめします。
-
- 化膿にきび
- アクネ菌の増殖がピークとなり膿をもった状態が化膿ニキビ。毛穴のまわりの組織が破壊され、真皮までダメージを受けるのでニキビが治っても、凸凹が残ったりにきび痕が残ることがあります。少し触れただけでも痛みを感じます。
当院で行っている施術
照射治療
-
特殊な光を照射することでシミ・小じわ・色素沈着・赤ら顔・毛穴の開きなどを同時に改善します。
-
超微粒子のカーボンを含むクリームを塗り、低出力のレーザーを照射して毛穴の開きや、しみ・ニキビ等を改善し、肌にハリを出します。
-
連続的な光をシャワーのように照射するレーザー。お肌の様々なトラブルを総合的に改善します。
ピーリング治療
-
皮膚科医が開発した病院専用の肌にやさしいピーリング。アトピーの方でもご利用いただけます。
-
マッサージしながら薬剤を塗布することでニキビ痕やシミ等の色素沈着を改善します。強力な美白効果だけでなく、弾力やハリもアップさせるピーリング治療。
その他
-
お肌に一時的に微細な穴をあけることで、皮膚の自然治癒力を働かせて古い皮膚を新しく再生させる治療法です。
-
ハリウッドセレブ御用達のホームケアコスメ。処方のお薬を混ぜて使用して頂くので、医療機関のみでの販売が許可されています。
-
医療美白成分トラネキサム酸を高配合したスキンケア商品。美白と美肌を同時に期待できる製品です。
-
米国FDAに認可されたシミ・ニキビ・小じわの治療医薬品。皮膚内のメラニン色素を外に排出する働きがあります。
-
これまで注射でしか導入できなかった美容成分を真皮層まで効率よく浸透させます。お肌の乾燥や肌荒れ・ニキビの改善も期待できます。
-
毛穴の引き締めや美白効果のある導入治療。IPL治療やピーリングの直後にもおすすめです。
-
プラセンタと数種類のビタミンを補給することで色素沈着・ニキビ・肌荒れ等を改善します。
-
お肌のキメを整える「ビタミンC」や、肌荒れを予防・改善する「ビタミンB2・B6」が体内からニキビに働きかけます。
-
肌のターンオーバーを促進し、肌のハリ・美白・潤いアップによる美肌や若返り効果が期待できます。
-
更年期障害の改善や、疲労回復効果や活性酸素の除去など体の調子を整える効果があります。
-
成分に含まれる「ビタミンB類」や「ビタミンC」がニキビを予防・改善し、トラネキサム酸がニキビ痕の赤みを沈静化します。
-
皮脂分泌抑制作用、抗菌作用・抗炎症作用などにより重傷・難治性のニキビに効果を発揮する内服薬。
-
角質の結合をゆるめて毛穴の閉塞を防ぐ作用などにより難治性のニキビにも効果を発揮する塗り薬。
美容に幅広い効能が認められているプラセンタを内服で摂取することができます。
- その他のスキンケア治療
- 肝斑(かんぱん)
- しみ・そばかす
- 赤ら顔
- 毛穴の開き・黒ずみ
- ホクロ・イボ・あざ除去








